توسعه داربستهای سهبعدی هیدروکسی آپاتیت-کیتوسان برای درمان و جایگزینی استخوان
به گزارش روابط عمومی دانشگاه صنعتی سهند، در پژوهشی انجامشده توسط دکتر محمدرضا اطمینانفر و نسا عبدیان، داربستهای سهبعدی هیدروکسی آپاتیت-کیتوسان حاوی ذرات مزومتخلخل برای درمان و جایگزینی بافت استخوان توسعهیافته است.
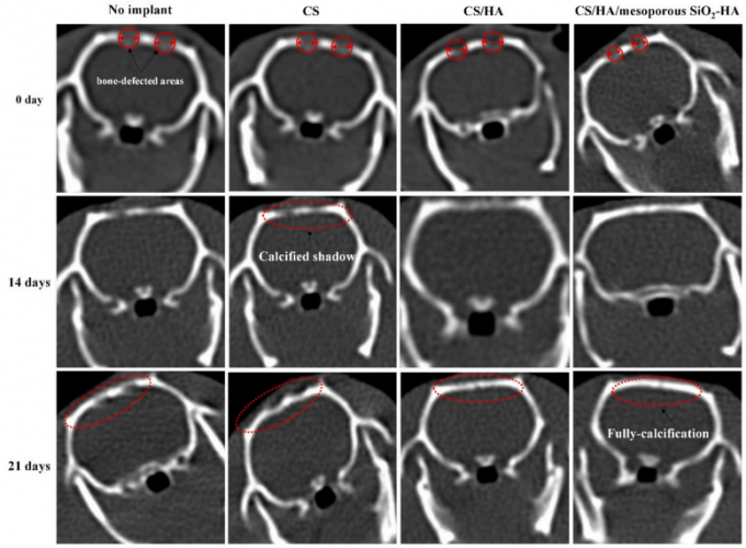
عضو هیأت علمی دانشکده مهندسی مواد دانشگاه صنعتی سهند بیان نمود: نتایج این دستاورد نشان میدهد این کامپوزیتها از ساختار و استحکام مناسبی جهت بازسازی استخوان برخوردار بوده و مطالعات درونتنی روی استخوان جمجمه موش صحرایی نشان دادند که بعد از ۲۱ روز، حدود ۹۰ درصد از استخوان آسیبدیده با بافت جدید جایگزین شده است. با استفاده از این نوع داربست، سرعتترمیم بدن موجود زنده تقریباً نه برابر بیشتر از حالت عادی بوده است.
دکتر اطمینان فر بابیان اینکه آسیبهای استخوانی، یکی از معضلات شایع در جوامع امروزی است، افزود: ترمیم طبیعی استخوانها فرآیندی پیچیده است و در بسیاری از موارد، بهطور کامل انجام نمیشود. در اینصورت استفاده از پیوند استخوان برای جلوگیری از قطع عضو ضروری خواهد بود. وی ادامه داد: روش سنتی پیوند استخوان که با استفاده از دیگر استخوانهای بدن بیمار انجام می شود، با معایبی مانند درد، دوره نقاهت طولانی، هزینه بالا، محدودیت در اندازه و دسترسی دشوار به بافت پیوندی همراه است و جراحان را به دنبال جایگزینهایی مانند آلوگرافت یا مواد مصنوعی سوق داده است. دکتر اطمینان فر تأکید کرد: با بهرهمندی از این دستاورد نیازی به استفاده از عضو برای پیوند نیست و نتایج این پژوهش نشاندهنده قابلیت بالای زیستسازگاری و زیستتخریبپذیری این داربستها است که میتوانند بهعنوان استراتژی نوین برای مهندسی و بازسازی بافت استخوان در آینده نزدیک موردتوجه قرار گیرند.
عضو هیأت علمی دانشگاه صنعتی سهند گفت: این پژوهش با عنوان 3D chitosan/hydroxyapatite scaffolds containing mesoporous SiO2-HA particles: A new step to healing bone defects
در مجله معتبر International Journal of Biological Macromolecules با ضریب تأثیر ۷/۷ چاپشده و از طریق آدرس doi.org/10.1016/j.ijbiomac.2024.135014 در دسترس علاقهمندان و محققان است.

نظر شما :